| |
|
|
MRI
Diagnosis of Accreta
By
Andrew D. Hull and Michele A. Brown
Introduction
There is no doubt that ultrasound is
the principal imaging tool for the detection and evaluation
of placenta accreta as described elsewhere in this volume.
Magnetic resonance imaging (MRI) was first used in pregnancy
soon after it was developed, and those early imaging
attempts paid particular attention to the placenta. At the
time, availability of probes for endovaginal ultrasound was
limited and researchers and clinicians sought other
modalities to evaluate placental location, typically to
diagnose placenta previa. Without diagnostic imaging, women
with a suspected placenta previa in the late third trimester
underwent vaginal examination in an operating room under a
“double set-up” prepared for cesarean section. If placenta
previa was present, delivery by cesarean section was
immediately performed; if not, labor was induced. MRI was an
effective tool for placental localization, but was never
widely adopted as endovaginal probes became readily
available. Later investigators and clinicians turned their
attention to MRI as a tool for diagnosis and evaluation of
accreta, often with mixed results. In contemporary practice,
MRI has a role in the armamentarium of tools used in the
diagnosis and management of placenta accreta although its
precise application remains controversial.
MRI Technique
Obstetric MRI has evolved over the
years with different techniques being proposed and adopted
depending on the type of investigation being performed.
Fetal MRI uses protocols that vary according to the anatomic
area of interest and must be modified to reduce movement
artefact and allow evaluation of small details of fetal
anatomy. Protocols used in placental evaluation have shown a
similar pattern of evolution. Although differences exist
between individual centres and clinicians, the approach for
most studies has become relatively uniform.
At our institution, MR exams are
performed using a 1.5-Tesla MRI system with a phased-array
torso coil. Patients are imaged without sedation and usually
fast for 4 hours prior to imaging because an empty GI tract
produces better images. Patients are positioned supine or
decubitus based on patient comfort and gestational age.
Initial pulse sequences rely on the ultrafast T2-weighted
single-shot fast spin echo (SSFSE/HASTE), T2/T1-weighted
balanced steady-state free precession (FISP/FIESTA), and
T1-weighted gradient spin echo images. Sequences are
acquired in at least two orthogonal planes over the region
of interest, most commonly the lower uterine segment.
High-resolution T2-weighted echo train and spin echo may be
helpful when focused upon areas of particularly high
suspicion.
Gadolinium-based contrast is
administered intravenously only if unenhanced images are
indeterminate to confirm the diagnosis and assess depth of
invasion if the gestational age is 28 weeks or greater.
One-half dose of MultiHanceR (gadobenate dimeglumine, Bracco
Diagnostics Inc., Singen, Germany) is typically sufficient.
Dynamic sequences are acquired using two-dimensional (2D)
gradient echo, MR angiographic sequences, or modified MR
angiographic sequences that speed acquisition time (e.g.,
time-resolved imaging of contrast kineticS [TRICKS]) to
eliminate the need for timing. All patients provide informed
consent prior to the exams for both MRI and intravenous
contrast administration. A radiologist monitors all studies
in order to adequately evaluate the area of interest.
MRI and Safety in Pregnancy
MRI is generally considered to be safe
in pregnancy. It does not use ionizing radiation, appears to
have no risk of teratogenicity, and does not require special
restrictions or precautions. There are no published studies
documenting harm in human or animal use. Theoretical safety
concerns have been raised regarding the use of higher
strength magnetic fields (3-Tesla MRI), although no data
exist to support evidence of harm. Pregnant patients may
require left lateral positioning to reduce caval compression
during scanning. MRI provides good differentiation between
tissues without the use of contrast. However, the use of
contrast has been advocated in some settings including the
evaluation of placenta accreta. There are no data supporting
the use or safety of super paramagnetic iron oxide particles
in pregnancy and only gadolinium-based contrast should be
used. However, the use of gadolinium in pregnancy is
controversial. Gadolinium has not been shown to be
teratogenic or mutagenic in animal studies and did not have
adverse fetal or new-born effects when used in the first
trimester in pregnant women. Free gadolinium is toxic and
should only be administered in chelated form; the stability
of available compounds varies and it has been suggested that
only the most stable compounds be used in pregnancy.
Gadolinium crosses the placenta to enter the fetal
circulation, is excreted into fetal urine, swallowed as
amniotic fluid, is recirculated, and can pass via the
placenta to the maternal circulation for final excretion.
Concerns have been raised regarding a potential risk of
nephrogenic systemic fibrosis (NSF) in neonates exposed to
gadolinium in utero because of relatively low fetal and
new-born glomerular filtration rate (GFR). An elegant recent
study in nonhuman pregnant primates examined the persistence
of gadolinium in amniotic fluid and accumulation of
gadolinium in fetal tissues following a clinically relevant
dose of contrast. The authors found minimal residual
gadolinium in amniotic fluid 21 hours after injection and
evidence of continuing excretion. Despite these reassuring
findings, current recommendations are to restrict gadolinium
use to the most stable agents and to use contrast only when
benefits clearly outweigh potential risk. We believe it is a
reasonable option in the third trimester.
MRI and Normal Placenta
It is essential that one can identify
the appearance of normal placenta before attempting to
evaluate abnormal placentation. It also is important to
consider the changes that occur in placental anatomy over
the course of normal pregnancy. The pregnant uterus is pear
shaped with a narrower lower segment than the fundus and
body. The placenta may be implanted anteriorly or
posteriorly and wrap laterally. The lower edge of the
placenta is easily visualized, making assessment of the
distance between the placental and cervix relatively easy.
On T1-weighted images, the placenta appears homogeneous and
is isointense to muscle throughout pregnancy. Thus, it is
difficult to examine the placental–uterine interface or the
myometrium (Figure 4.1a). Fat-suppressed T2-weighted imaging
also shows the placenta to be bright and homogeneous in
texture with darker thin septae and vessels (Figure 4.1b).
The fetal and maternal surfaces of the placenta appear
smooth. In the third trimester, the inner fetal surface of
the placenta may become lobulated in a pattern related to
maturation of the placental cotyledons. The outer maternal
surface should remain smooth, following the contours of the
uterine wall. When contrast is used, the placenta enhances
prior to the myometrium and with increasing age becomes more
homogeneous. Normal myometrium has a three-layered
appearance on T2-weighted images with a heterogeneous
hyperintense middle layer and low-intensity margins (Figure
4.1b). As pregnancy progresses, the myometrium thins as the
uterus enlarges.
MRI and Placenta Accreta
Over the last 20 years, numerous
authors have described MRI features, which suggest possible
placenta accreta.22–28 These include a heterogeneous
appearance of the placenta with linear T2-hypointense
intraplacental bands, abnormal uterine segment bulging,
disruption of the hypo intense bladder wall and a nodular
appearance of the bladder outline with placental extension
into the bladder. Figure 4.2 shows a placenta with features
of accreta. T2-weighted images are shown in sagittal (a) and
coronal (b) planes demonstrating a heterogeneous
disorganized placental signal with dark T2 bands, an
irregular, lobular outer contour, and bladder indentation.
Obtaining additional sequences may allow concerning features
to be further evaluated. Figure 4.3 shows a case with a
posterior placenta previa without accreta. T2-weighted SSFSE
images show the interface between the placenta and uterine
wall. On T2-weighted images, dark linear structures may
represent normal intra-placental vessels or the dark bands
associated with accreta.
|
 |

|
(a)
(b)
FIGURE 4.1 Normal placenta on magnetic
resonance imaging (MRI) in the late second trimester. (a) On
T1-weighted images, the placenta is homogeneous and
isointense to muscle throughout pregnancy. (b) On
fat-suppressed T2-weighted images, the placenta is fairly
homogeneous and bright with darker thin septa and vessels
seen. Note both the inner (fetal) surface (white arrows, a;
black arrows, b) and outer (maternal) surface (black arrows,
a; white arrows, b) of the placenta are smooth. There is no
placenta previa in this case as the anterior placenta is
remote from the cervix (“c,” a and b). Later in the third
trimester, the inner surface may become lobulated in a
regular pattern related to the cotyledons; however, the
outer maternal surface remains smooth, flowing the expected
contour of the uterine wall.
Often, a T2/T1-weighted steady-state
gradient echo sequence helps distinguish between placental
bands and vessels; placental bands appear dark on this
sequence and vessels appear bright. The placental–uterine
interface is often better seen on T2/T1-weighted
steady-state gradient echo, appearing as a dark line
separating the placenta from the uterine wall. The
vascularity of the uterine wall frequently leads to low
signal intensity on T2-weighted images and higher signal
intensity on FISP/FIESTA images.
(a)
(b)
FIGURE 4.2 Placenta accreta. Sagittal
(a) and coronal (b) T2-weighted images show heterogeneous,
disorganized signal, dark T2 bands (white arrows, a and b),
and irregular, lobular, outer contour (black arrows, a and
b) indenting the partially distended bladder.
(a)
(b)
FIGURE 4.3 Posterior placenta previa
with no accreta: value of FISP/FIESTA sequence. (a) The
T2-weighted SSSFE/ HASTE shows fairly a homogeneous placenta
previa with normal but indistinct interface with the uterine
wall. In addition, dark linear structures are seen that may
be confused with dark bands of accreta (white arrows, a).
(b) On the T2/ T1-weighted steady-state gradient echo
(FISP/FIESTA), the dark bands are not seen (suggesting they
are vascular structures), and it is easier to distinguish
placental–maternal interface, which may be seen as a thin
dark line (white arrows, b) separating the placenta from the
uterine wall. The vascularity of the uterine wall frequently
leads to low signal intensity on T2-weighted images and
higher signal intensity on FISP/FIESTA images. The anterior
placental edge is seen (black arrow, a and b), covering the
internal orifice (os) of the cervix (“c,” a and b).
MRI and Placenta Accreta and
Gestational Age at Evaluation
There is general consensus that MRI to
evaluate fetal anatomy is of little use at gestational ages
of less than 18 weeks because of the small fetal size and
high rate of motion artefact. MRI is of greater use at 20–22
weeks or later depending on the area of interest.7 An
awareness that placenta accreta may be diagnosed with
ultrasound as early as the first trimester has led to MRI
being performed at earlier and earlier gestational ages for
confirmation of ultrasound suspected diagnoses. A recent
study examined the diagnostic utility of MRI performed at
14–41 weeks gestation. The authors showed that when MRI was
performed at less than 24 weeks, the sensitivity and
specificity for a diagnosis of placenta accreta was 0.14 and
0.7, respectively. This was considerably worse than the
values of 0.79 and 0.94 obtained after 24 weeks. The
positive predictive value (PPV) and negative predictive
value (NPV) in studies at less than 24 weeks gestation (0.25
and 0.54, respectively) were also worse than after 24 weeks
(0.96 and 0.71, respectively). They concluded that MRI
evaluation should be delayed until after 24 weeks gestation.
MRI or Ultrasound for Screening and
Initial Diagnosis of Placenta Accreta
Several studies examined the
performance of MRI versus ultrasound as the primary
diagnostic modality for diagnosing placenta accreta.
Ultrasound and MRI performed similarly for primary diagnosis
in all studies with no differences found in sensitivity or
specificity between the imaging techniques (MRI sensitivity
92.9%, US sensitivity 87.8%, p = 0.24; MRI specificity
93.5%, US specificity 96.3%, p = 0.91). Given the relative
availability, ease of performance, and lower cost of
ultrasound versus MRI, it follows that ultrasound should be
the primary screening tool for accreta in at-risk patients.
MRI and Antepartum Hemorrhage
Bleeding in pregnancy should be
evaluated initially with ultrasound. This is particularly
true in the second half of pregnancy where placenta previa
should always be excluded prior to vaginal examination. In
cases where accreta is suspected in the setting of bleeding
in a hemodynamically stable patient, MRI may have a
diagnostic role. Figure 4.4a shows a sagittal T2-weighted
image of a placenta accreta with outer bulging of the
placenta, and Figure 4.4b shows a T2/T1-weighted FISP/FIESTA
image. Both figures suggest that there is placental tissue
at the internal orifice (os). The T1-weighted image in
Figure 4.4c clearly shows that this apparent placental
tissue is an area of hemorrhage, demonstrating the value of
such additional sequences.
MRI for Assessment of Depth of
Myometrial Invasion
The gold standard for assessment of the
depth of placental invasion is histopathology. It should be
noted, however, that in a single specimen, varying degrees
of placental invasion from accreta, increta, and percreta
may occur, depending on the site examined. Ultrasound has
been shown to have a wide range of diagnostic confidence in
determining degree of placental invasion from 38% to 65%.
Figure 4.5a shows a sagittal T2-weighted image of placenta
accreta with outer bulging of the placenta and invasion into
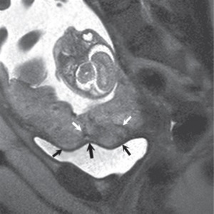
the cervix. Figure 4.5b shows the axial T2-weighted view
(oriented axial to the cervix) with the dark inner fibrous
stromal ring of the cervix replaced by the invasive placenta
anteriorly. Figures 4.5c and 4.5d show a normal intact
appearance of the dark fibrous stroma in a normal cervix.
The previously cited meta-analysis of MRI and placenta
accreta35 found a sensitivity of 92.9% (72.8%–99.5%) and a
specificity of 97.6% (87.1%–99.9%) for depth of myometrial
invasion. Palacios-Jaraquemada described a system of
classifying degree of placental invasion coupled with
topographic assessment of the placenta in 300 cases and
reported accurate assessment of placental invasion in 97.66%
of cases with a 1.33% false positive rate and 1% false
negative rate. This system was applied retrospectively to 62
patients managed at a single centre. Partial myometrial
invasion was graded A, invasion to full thickness of
myometrium B, and invasion into parametrium or cervix C. The
location of invasion was classified as S1, upper uterine
segment supplied by uterine and upper vesical arteries, and
S2, lower uterine segment supplied by deep anastomotic
pelvic subperitoneal vessels. Severity ranged from S1A
(least severe) to S2C (most severe). MRI assessment was
compared to pathological and surgical staging. The authors
reported a 61% rate of accuracy for staging, with a 22.6%
rate of over diagnosis of degree of invasion. Further
prospective studies are needed to examine the true utility
of this approach.
|
 |
 |
(a)
(b)

(c)
(FIGURE 4.4 Placenta accreta with
hemorrhage: value of T1-weighted sequence. (a) Sagittal
T2-weighted image shows placenta accreta (“p,” a) with outer
bulging of the placenta. Note the material at the internal
Os has the appearance of placental tissue on both
T2-weighted (a) and T2/T1-weighted FISP/FIESTA (b) images
(“*,” a & b). On the T1-weighted image (c), we see there is
hemorrhage in this location (arrows, c). This case
demonstrates the importance of a T1-weighted sequence to
clearly identify blood products that may mimic solid tissue
on other sequences.
MRI as a Tie Breaker in Uncertain
Diagnosis of Accreta
In cases where it is difficult to
determine if an accreta is present, MRI may be useful as an
adjunctive diagnostic test. This may be particularly true in
cases of posterior placentation, especially in later
gestation when it is difficult to visualize the placenta by
sonogram, or suspected accreta absent of placenta previa.
Such difficult cases may also benefit from the use of
contrast media.
(a)
(b)
(c)
(d)
FIGURE 4.5 Placenta accreta with
cervical invasion. (a) Sagittal T2-weighted image shows
placenta accreta with outer bulging of the placenta (“p,” a)
and invasion into the cervix; only the posterior dark stripe
of normal fibrous stroma is seen (arrow, a). (b) On the
axial T2-weighted view, the dark inner fibrous stromal ring
(arrows, b) of the cervix is partially replaced by the
anterior invasive placenta (“p,” b). Note relationship of
the placenta with fluid in the bladder (“b,” a and b). (c)
For comparison, sagittal (c) and axial (d) T2-weighted
images indicate the normal intact appearance of the dark
fibrous stroma of the cervix (arrows, c and d).
(Gratitude: This academic material has
been excerpted with deep gratitude from the book Placenta
Accreta Syndrome edited by Robert Silver and published by
CRC Press, Taylor & Francis Group, 6000 Broken Sound Parkway
NW, Suite 300, Boca Raton, FL 33487-2742. There is no
financial or any other material gain from this excerpt and
is being reproduced here only with a benevolent aim to help
the readers to know more about the potentially lethal
condition of placenta accreta syndrome. Readers wishing to
read the complete article including the complete
comprehensive top-class material should refer to the book
cited above. Once again a deep gratitude to the editor, the
authors and the publishers for this material.)
|